Una mujer comió picante y tosió tan fuerte que se "rompió" por dentro
La paciente llegó al hospital con fuertes dolores y los médicos, tras realizar una tomografía, descubrieron algo increíble. ¿Qué le pasó y por qué?
El cuerpo humano es tan fascinante que a pesar de los siglos de ser estudiado por la medicina, todavía guarda misterios en su interior, y hay veces que reacciona de las maneras más insólitas ante las acciones naturales aparentemente más simples.
Lo cierto, es que en estos días, por ejemplo, una mujer china tosió tan fuerte tras comer algo picante que se fracturó cuatro costillas. Según un informe de South China Morning Post (SCMP), la mujer llamada Huang, nacida en la ciudad de Shangai, no se dio cuenta de su lesión hasta horas después del tosido.
Sin embargo, en el momento de la contracción notó que algo andaba mal porque sintió un sonido crujiente proveniente de su pecho. Aun así, no le prestó demasiada atención y siguió con su día como si nada.
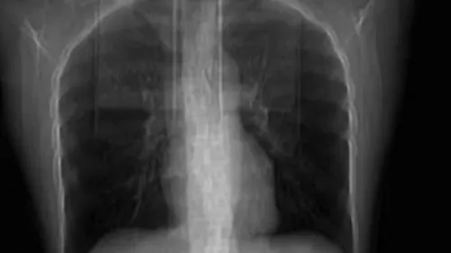
Pero cuando las horas pasaron y empezó a tener un dolor tremendo al hablar y dificultades para respirar, a Huang no le quedó otra que recurrir a un profesional. El médico que la atendió le hizo una tomografía que, llamativamente, le arrojó como resultado que tenía cuatro costillas rotas.
¿Qué hizo el médico?En respuesta, el profesional le vendó el pecho con fuerza y le recomendó que descansara por un mes. Para el médico, de quien no se conoce el nombre, la causa principal por la que Huang se fracturó fue su peso. Cabe destacar, que la mujer mide 1,71 metros y pesa 57 kilogramos.
"Sus costillas se pueden ver claramente debajo de su piel. No hay músculo para sostener el hueso, por lo que es fácil que sus costillas se fracturen al toser", dijo el profesional.
Con el objetivo de que no le vuelva a pasar, Huang prometió cambiar su dieta y hacer una rutina de ejercicio físico pesado para aumentar su masa muscular y el peso de la parte superior del cuerpo.

